Новостной портал "Город Екатеринбург"
26 марта, Екатеринбург 12,8°
Курс ЦБ 80,72 93,81

Мы используем cookie.  Оставаясь на сайте, вы соглашаетесь с тем, что мы обрабатываем ваши персональные данные с использованием метрик Яндекс Метрика,top.mail.ru, LiveInternet.

Новости области 0+

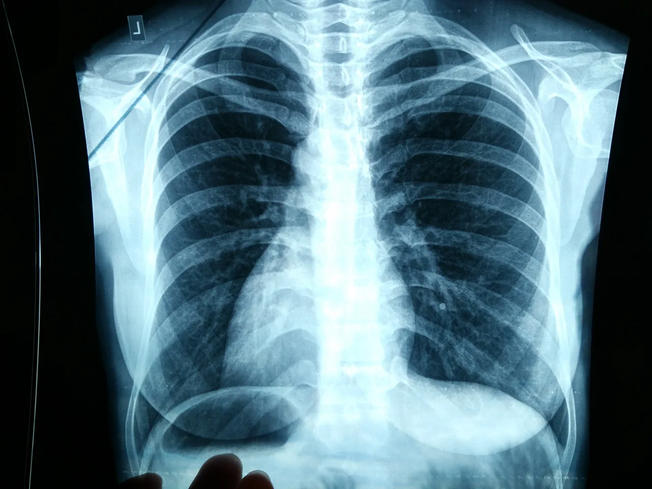
Врачи Свердловской области бьют тревогу: 85% случаев рака легких обнаруживают слишком поздно

В Екатеринбурге стартовала неделя профилактики, где медики расскажут, как уберечь себя от одного из самых грозных видов рака. Главный враг — курение.

Врачи Свердловской области бьют тревогу: 85% случаев рака легких обнаруживают слишком поздно
Источник фото: Неизвестно

С 3 по 9 ноября в Екатеринбурге и Свердловской области проходит масштабная Неделя профилактики рака легкого. Медицинское сообщество региона обращает внимание уральцев на тревожную статистику: этот вид онкологии лидирует по распространенности, а смертность от него достигает 85%, в первую очередь из-за поздней диагностики.

Почему рак легкого так опасен?

Как поясняют специалисты, коварство заболевания заключается в его бессимптомном течении на начальных стадиях. Зачастую, когда появляются первые явные признаки, болезнь уже сильно запущена.

«Несмотря на прогресс медицинских технологий, смертность от рака легких по-прежнему катастрофически высока — около 85% от числа заболевших. И главная причина этого — выявление на поздних, III и IV стадиях», — отмечают в министерстве здравоохранения Свердловской области.

Когда бить тревогу? Тревожные симптомы

Медики призывают уральцев не игнорировать следующие симптомы, при появлении которых нужно незамедлительно обратиться к врачу:

  • Длительный кашель (более трех недель).
  • Одышка.
  • Кровохарканье (примесь крови в мокроте).
  • Затрудненное дыхание.
  • Необъяснимая слабость и значительная потеря веса.
  • Длительное незначительное повышение температуры тела.

Главный враг — курение

Врачи однозначны: основной причиной развития болезни является курение. По разным оценкам, с этой вредной привычкой связано от 70 до 95% всех случаев рака легких.

«Важно понимать, что пассивное курение является фактором риска так же, как и активное. Опасно не только для самого курильщика, но и для его близких», — подчеркивают онкологи.

Правила профилактики: как снизить риск

Специалисты дают уральцам несколько ключевых рекомендаций:

  1. Полный отказ от курения — это самый эффективный способ профилактики.
  2. Регулярная диспансеризация. Ежегодная флюорография в рамках профосмотров и диспансеризации (с 18 до 39 лет — 1 раз в 3 года, с 40 лет — ежегодно) позволяет выявить проблему на ранней стадии.
  3. Здоровый образ жизни: правильное питание, богатое витаминами, ежедневные физические нагрузки и прогулки на свежем воздухе.
  4. Своевременное лечение заболеваний бронхов, недопущение их перехода в хроническую форму.
  5. Защита на вредном производстве: при работе с химическими веществами и тяжелыми металлами необходимо использовать респираторы и маски.

Профилактика и эффективное лечение социально значимых заболеваний, включая онкологию, являются важнейшим направлением национального проекта «Продолжительная и активная жизнь».

Новости партнеров




Статьи по теме: